
Albirea dinților la Dentcof
Albire fără modificare. Luminozitate prin conservare.
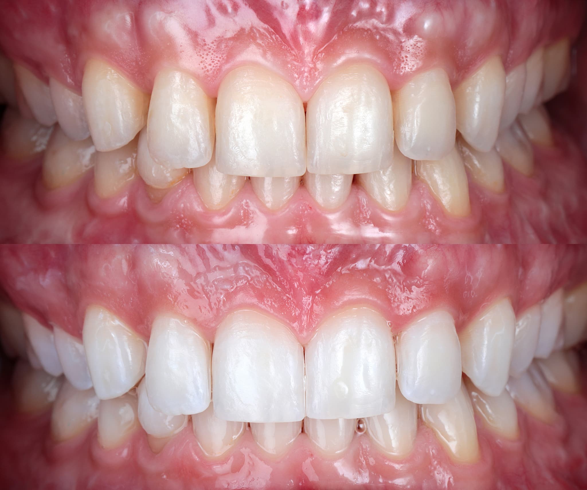
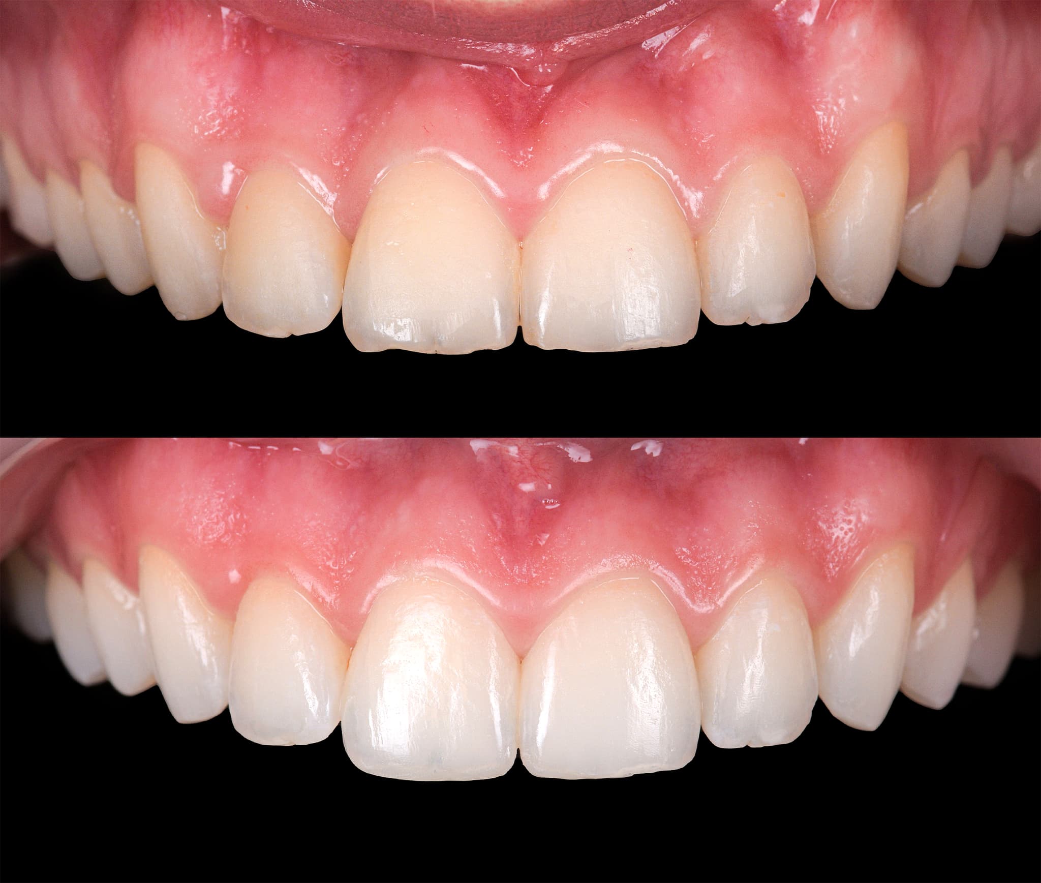
Albirea dinților (bleaching) este una dintre cele mai puțin invazive metode de a îmbunătăți un zâmbet. La Dentcof, nu o aplicăm ca o soluție cosmetică universală, ci ca parte integrată dintr-un plan estetic mai amplu. Fie ca procedură de sine stătătoare, fie combinată cu alte tratamente, albirea ne permite să creștem luminozitatea zâmbetului fără a modifica forma dinților.

1. Diagnostic și planificare
Adaptat smalțului tău, ghidat de obiectivele tale.
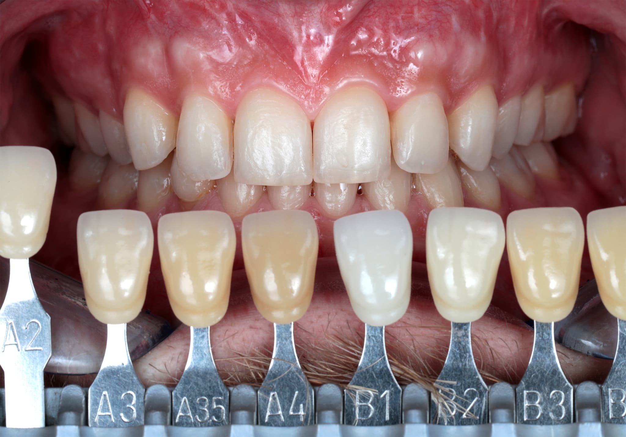
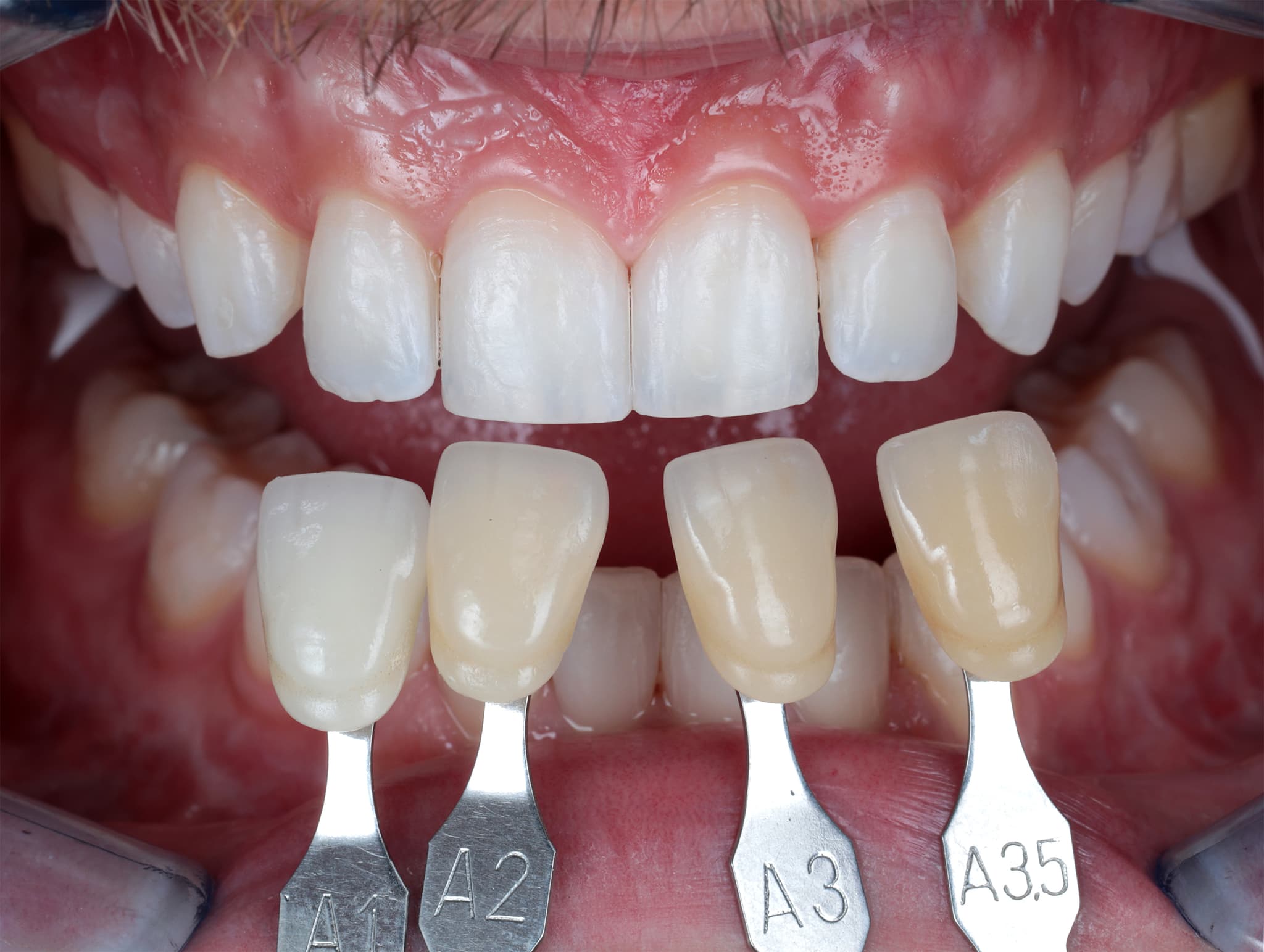
Începem prin a evalua cauza decolorării, sensibilitatea dentară și tipul petelor prezente. Acest pas ne ajută să stabilim dacă albirea este o soluție eficientă și ce metodă—acasă, în cabinet sau combinată—este cea mai potrivită pentru tine.
Află mai multe despre planificarea tratamentului

2. Protocol de albire
Sigur, controlat și calibrat.
Folosim agenți de albire profesionali și gutiere personalizate sau protocoale aplicate în cabinet pentru a asigura un rezultat uniform, cu sensibilitate minimă. Întregul proces este monitorizat de echipa noastră pentru a preveni supralbirile sau deteriorarea smalțului.

3. Mentenanță și integrare
Un zâmbet mai luminos, integrat în planul complet.
Evaluăm nuanța finală în contextul designului complet al zâmbetului. Albirea se face adesea înainte de aplicarea fațetelor, coroanelor sau compozitelor—astfel încât dinții care nu necesită intervenție să se potrivească armonios cu restul restaurărilor.
I’mperfect începe aici
Fără adaosuri. Fără compromisuri.
Albirea este cea mai fidelă expresie a filozofiei I’mperfect: respectă în totalitate structura naturală a dintelui. Când anatomia este sănătoasă și bine proporționată, dar culoarea ridică semne de întrebare, albirea devine o opțiune puternică pentru a îmbunătăți zâmbetul fără a modifica nimic din ceea ce este deja corect.

Integrată în planul extins de tratament
Un pas, nu o scurtătură.
Albirea este adesea parte dintr-un plan în mai multe etape. O folosim pentru a îmbunătăți estetica într-un mod conservator, atunci când anatomia o permite, sau ca bază pentru a armoniza tratamente combinate. Prin planificarea nuanței din timp, evităm discrepanțele ulterioare.

Intervenție minimă, efect maxim
Schimbare estetică fără cost biologic.
Albirea oferă rezultate vizibile fără să necesite șlefuire, remodelare sau anestezie. Atunci când este indicată, aduce un plus de luminozitate aproape instant, fără perioadă de recuperare—ideală pentru pacienții care își doresc un impact vizibil cu un efort minim.

Considerații pe termen lung
Rezultate sigure și sustenabile.
Informăm pacienții cum să mențină rezultatul și recomandăm reîmprospătări doar când este necesar. Procesul de albire este repetabil, dar întotdeauna sub supraveghere profesională—pentru a proteja smalțul și sănătatea dentară pe termen lung.
Întrebări frecvente despre albirea dinților
Albirea afectează smalțul?
Nu. Atunci când este realizată profesional, albirea nu deteriorează smalțul. Evaluăm riscurile individuale și personalizăm protocolul pentru fiecare pacient.
Cât durează rezultatele?
Rezultatele pot dura de la câteva luni până la câțiva ani, în funcție de alimentație, igienă și stil de viață. Reîmprospătările ocazionale ajută la menținerea luminozității.
Voi avea sensibilitate dentară?
Unii pacienți pot resimți o sensibilitate temporară, de obicei ușoară și trecătoare. Protocolul este adaptat pentru a reduce disconfortul.
Toți dinții pot fi albiți?
Doar dinții naturali răspund la albire. Coroanele, fațetele sau obturațiile din compozit nu își schimbă nuanța—de aceea, planificăm restaurările după albire, atunci când este necesar.
Albirea se face înainte sau după fațete/coroane?
Selecția nuanței trebuie să facă parte din strategia generală. Albirea se poate face înainte sau după restaurări, în funcție de planul de tratament. Esențial este să decidem ce dinți vor fi albiți și ce dinți vor fi restaurați—pentru un rezultat coerent și stabil în timp.