
Restaurări All-on-X, Construite să Dureze
Soluții pe arcadă completă. Planificare complet integrată.
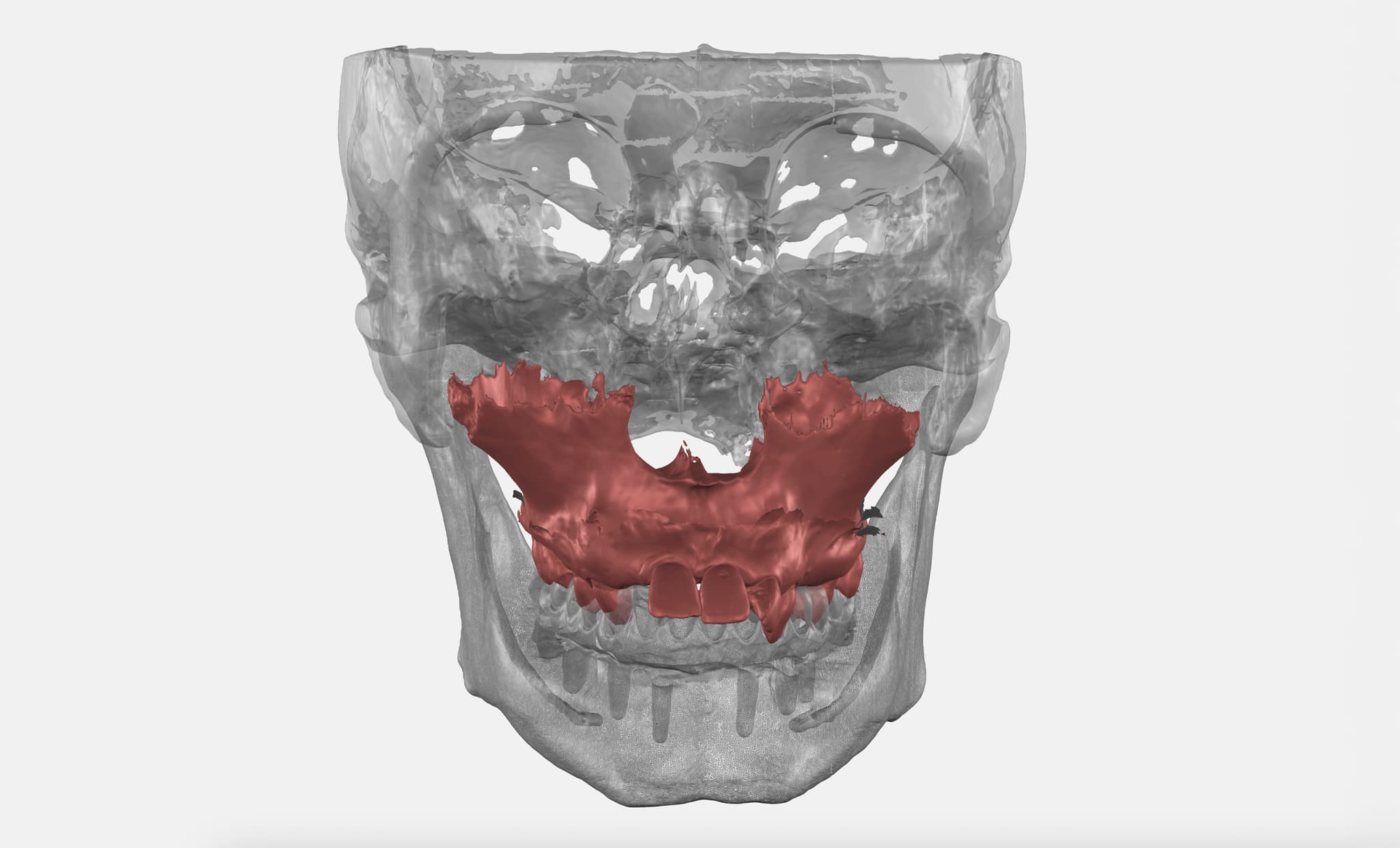
All-on-X este o restaurare fixă pe arcadă completă, susținută de mai mulți implanturi dentare—utilizată pentru a înlocui toți dinții unei arcade. Dar la Dentcof, nu este doar un protocol chirurgical. Este o soluție care redă funcția și calitatea vieții printr-un design strategic și interdisciplinar. Fiecare caz este planificat digital, combinând precizia chirurgicală, designul protetic și arhitectura țesuturilor moi pentru un rezultat durabil și coerent.
1. Diagnostic și Planificare Interdisciplinară
Abordare design-first, cu fiecare detaliu mapat.
Începem cu o documentare digitală completă: scanări faciale, evaluarea osului și simulări ale zâmbetului. All-on-X nu este niciodată o procedură chirurgicală izolată la Dentcof. Din contră, coordonăm poziționarea implanturilor, eventualele adiții osoase, contururile gingivale și estetica protetică într-un singur plan—înainte de a începe tratamentul.

2. Chirurgie Ghidată și Încărcare Imediată
Plasare precisă, recuperare mai rapidă.
Implanturile sunt inserate cu ajutorul unui ghid chirurgical printat 3D, generat din planul tău digital. Atunci când condițiile permit, o proteză provizorie pe arcadă completă este atașată în aceeași zi—așa încât pleci cu un zâmbet funcțional și estetic, chiar din prima etapă a vindecării.

3. Restaurarea Finală
Creată să reziste, proiectată să aparțină.
După faza de vindecare, finalizăm restaurarea pe baza planului inițial. Laboratorul nostru in-house, Metalab, realizează proteze monolitice cu estetică naturală și rezistență pe termen lung. Planul digital asigură coerența dintre rezultatul final și designul inițial.
I’mperfect — Identitate Păstrată, Chiar și pe Arcade Complete
Estetică individuală. Semnificație personală.
La Dentcof, nu urmăm tendințe—ci păstrăm autenticitatea. Chiar și în restaurările pe arcadă completă, aplicăm filosofia „I’mperfect” pentru a crea zâmbete care reflectă trăsăturile unice ale fiecărui pacient. Folosind forme dentare reale din biblioteci biometrice, realizăm proteze care se aliniază cu personalitatea ta, nu cu un standard.

Flux Unificat, Rezultate Predictibile
O singură echipă. O singură viziune. Fără incertitudini.
De la planificare la livrare, tratamentele All-on-X la Dentcof sunt gestionate de o echipă integrată de chirurgi, proteticieni și tehnicieni de laborator. Această aliniere reduce complicațiile, scurtează durata tratamentului și oferă o stabilitate clinică mai mare în timp.

Design Digital cu Simț Biologic
Tehnologia întâlnește biologia.
Designurile noastre nu se limitează la dinți—ci iau în calcul vindecarea țesuturilor moi, fonetica, dinamica masticației și arhitectura osoasă. Fiecare restaurare este funcțională, estetică și biologic coerentă.

Rezistență Monolitică, Arhivată Digital
Predictibilă, reparabilă, reproductibilă.
Toate protezele pe arcadă completă sunt realizate ca unități monolitice în Metalab, folosind materiale alese pentru rezistență și estetică. Deoarece fiecare design este arhivat digital, reproducerea sau repararea unei proteze—chiar și după ani—este simplă și coerentă.

Vezi Rezultatul Încă de la Început
Previzualizează-ți zâmbetul, digital și fizic.
Înainte de intervenție, îți prezentăm rezultatul estimat al zâmbetului folosind simulări digitale și repere faciale. Atunci când este potrivit, realizăm și mock-up-uri fizice, pentru ca tu să poți vizualiza noul zâmbet în viața reală—înainte de a lua o decizie.
All-on-X – Întrebări frecvente
Ce este All-on-X?
All-on-X este o restaurare fixă pe arcadă completă, susținută de mai multe implanturi (de obicei între 4 și 6), utilizată pentru a înlocui toți dinții lipsă de pe o arcadă superioară sau inferioară. Combină implanturi chirurgicale cu proteze fixe, oferind o soluție completă.
Este All-on-X potrivit pentru mine?
Depinde de calitatea osului, starea ta generală de sănătate și sănătatea orală. O etapă completă de diagnostic și planificare ne ajută să stabilim cea mai bună opțiune de tratament.
Cât durează tratamentul?
În multe cazuri, dinții provizorii pot fi livrați în aceeași zi cu inserarea implanturilor. Restaurările finale se finalizează de obicei după 3–6 luni de vindecare.
Dinții sunt detașabili?
Nu. Restaurările All-on-X sunt fixe și pot fi îndepărtate doar de medicul tău. Sunt concepute să funcționeze și să se simtă ca niște dinți naturali.
Cum se întreține o restaurare All-on-X?
Igiena corectă, controalele periodice și igienizările profesionale ocazionale sunt esențiale. Îți oferim instrucțiuni clare de îngrijire și un plan de întreținere pe termen lung.
Cât costă tratamentul All-on-X?
Costul variază în funcție de numărul de implanturi, materialele utilizate și complexitatea cazului. După faza de diagnostic, îți oferim un plan de tratament personalizat, transparent.