
Alungire Coronară la Dentcof
Redefinirea proporțiilor. Susținerea esteticii pe termen lung.
Alungirea coronară nu este doar o procedură chirurgicală—este un instrument de design. Fie că expune mai mult din dintele natural pentru o restaurare, fie că corectează niveluri gingivale inegale, intervenția este complet integrată în planul general de tratament. La Dentcof, abordăm alungirea coronară ca parte dintr-o strategie estetică și funcțională mai amplă, întotdeauna aliniată cu designul protetic și al țesuturilor moi.
1. Planificare Diagnostică și Smile Design
Proiectat cu rezultatul final în minte.
Începem cu o documentare digitală completă: scanări 3D, fotografii și analiză facială. Proporțiile ideale ale dinților și arhitectura gingivală sunt definite înainte de orice intervenție chirurgicală. Procedura de alungire coronară este apoi mapată digital, astfel încât deciziile chirurgicale să fie aliniate cu rezultatele protetice și cu estetica pacientului.

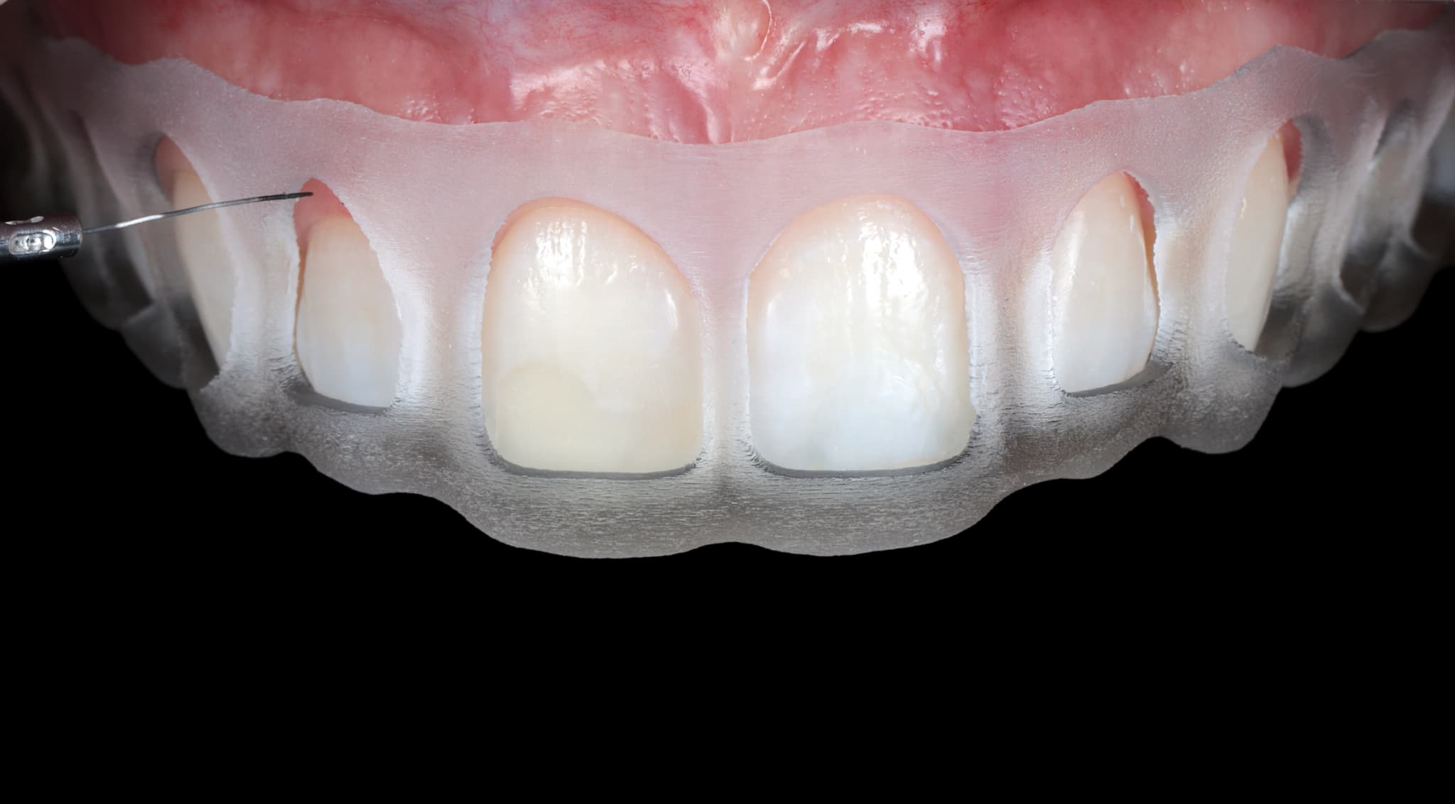
2. Execuție Chirurgicală
Minim invaziv, ghidat cu precizie.
Folosind planul digital și un ghid chirurgical personalizat, realizăm reconturarea gingivală și, dacă este necesar, remodelarea osoasă pentru a ajusta linia gingivală. Obiectivul este să îmbunătățim expunerea dintelui și sănătatea parodontală, asigurând totodată o bază stabilă pentru viitoarele restaurări. Majoritatea cazurilor sunt realizate fără lambou și fără suturi. Când este necesară reducerea osoasă, aceasta se face tot fără lambou, urmând noul contur gingival pentru a reface lățimea biologică—cu traumă minimă și vindecare optimizată.

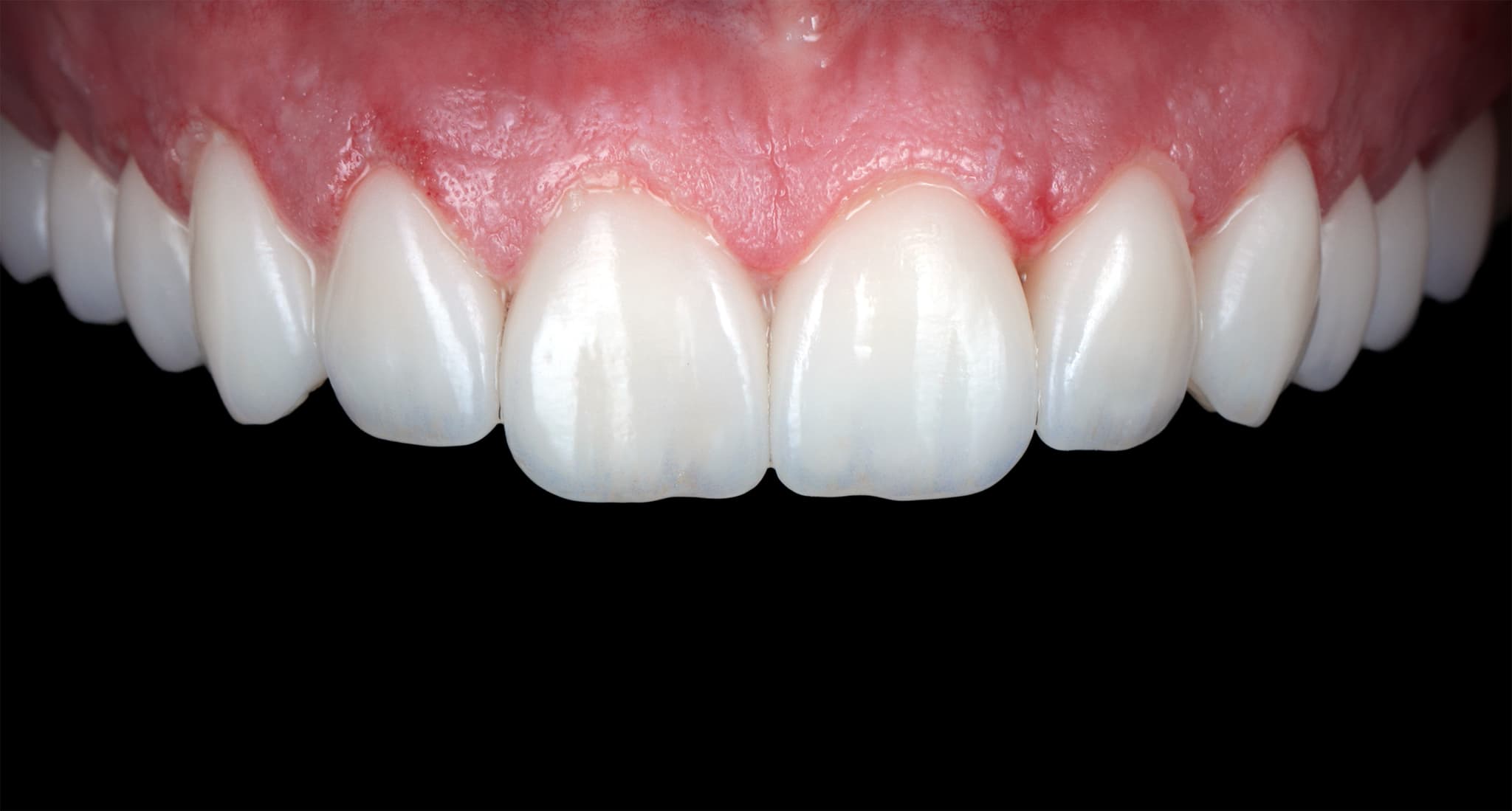
3. Vindecare Ghidată Protetic
Restaurări care modelează procesul de vindecare.
În loc să amânăm restaurările finale, alungirea coronară este adesea realizată simultan cu prepararea dinților. Ceramica este cimentată la scurt timp după intervenție—ghidând vindecarea țesuturilor în funcție de designul final. Această strategie creează o integrare firească între chirurgie și protetică și oferă rezultate tisulare mai previzibile.
În Sprijinul Filozofiei „I’mperfect”
Estetică naturală prin design precis.
Nu idealizăm zâmbetele—le individualizăm. Alungirea coronară susține filosofia „I’mperfect” prin rafinarea liniei gingivale în armonie cu trăsăturile faciale și dinamica zâmbetului fiecărui pacient. Este un pas subtil, dar esențial, către un rezultat cu aspect natural.

Flux Integrat cu Protetica
O singură viziune, aplicată în toate disciplinele.
Alungirea coronară la Dentcof nu este niciodată o procedură izolată. Este coordonată cu designul protetic, ortodonția și inserarea de implanturi, atunci când este cazul. Această planificare interdisciplinară reduce numărul de intervenții, îmbunătățește rezultatele și oferă o coerență estetică superioară.

Expertiză și Tehnologie In-House
Ghidaj digital, integrare clinică completă.
Procedurile chirurgicale sunt realizate de clinicieni cu experiență, folosind ghiduri personalizate și date diagnostice complete. Cu suport de laborator în timp real și toate etapele desfășurate in-house, comunicarea este fluidă, iar rezultatele devin mai previzibile.
Stabilitate pe Termen Lung
O fundație care rezistă.
Alungirea coronară creează baza pentru succesul restaurărilor. Fie că este vorba despre fațete, coroane sau implanturi, conturarea corectă a gingiilor contribuie la sănătatea biologică, integrarea estetică și durabilitatea lucrărilor protetice.

Vezi Rezultatul Încă de la Început
Simulare înainte de intervenție. Încredere înainte de decizie.
Folosind previzualizări digitale și mock-up-uri, îți arătăm cum va arăta zâmbetul tău după alungirea coronară—înainte de orice pas chirurgical. Această claritate ajută la luarea unor decizii mai bune și la un tratament mai previzibil.
Alungire Coronară – Întrebări frecvente
Ce este alungirea coronară?
Alungirea coronară este o procedură care ajustează nivelul gingiei și al osului pentru a expune mai mult din suprafața dintelui. Se utilizează pentru a îmbunătăți estetica sau pentru a permite aplicarea unor restaurări precum coroane sau fațete. La Dentcof, procedura este planificată digital și realizată cu ajutorul unui ghid chirurgical personalizat.
Este dureroasă procedura?
Procedura se efectuează sub anestezie locală și este, în general, bine tolerată. În cele mai multe cazuri este realizată fără lambou și fără suturi, ceea ce permite o recuperare mai rapidă și mai confortabilă.
Cât durează perioada de vindecare?
Vindecarea inițială durează 1–2 săptămâni. Totuși, pentru că în multe cazuri restaurările finale sunt cimentate la scurt timp după intervenție, vindecarea este ghidată chiar de ceramică. În anumite cazuri, poate fi necesară o perioadă suplimentară înainte de finalizarea tratamentului.
Voi avea nevoie de suturi?
În majoritatea cazurilor, nu. Folosim o tehnică minim invazivă, fără lambou, care nu necesită suturi. Dacă sunt necesare, folosim fire resorbabile care se dizolvă de la sine.
Alungirea coronară este permanentă?
Da. Odată ce nivelul gingiei și al osului este ajustat și vindecat, rezultatul este stabil și durabil în timp.
Cât costă tratamentul?
Costul variază în funcție de numărul de dinți implicați și de complexitatea cazului. După evaluarea completă, oferim întotdeauna un plan personalizat și transparent.