
Ce este o coroană dentară?
O restaurare ceramică, ghidată de design—nu de denumire.
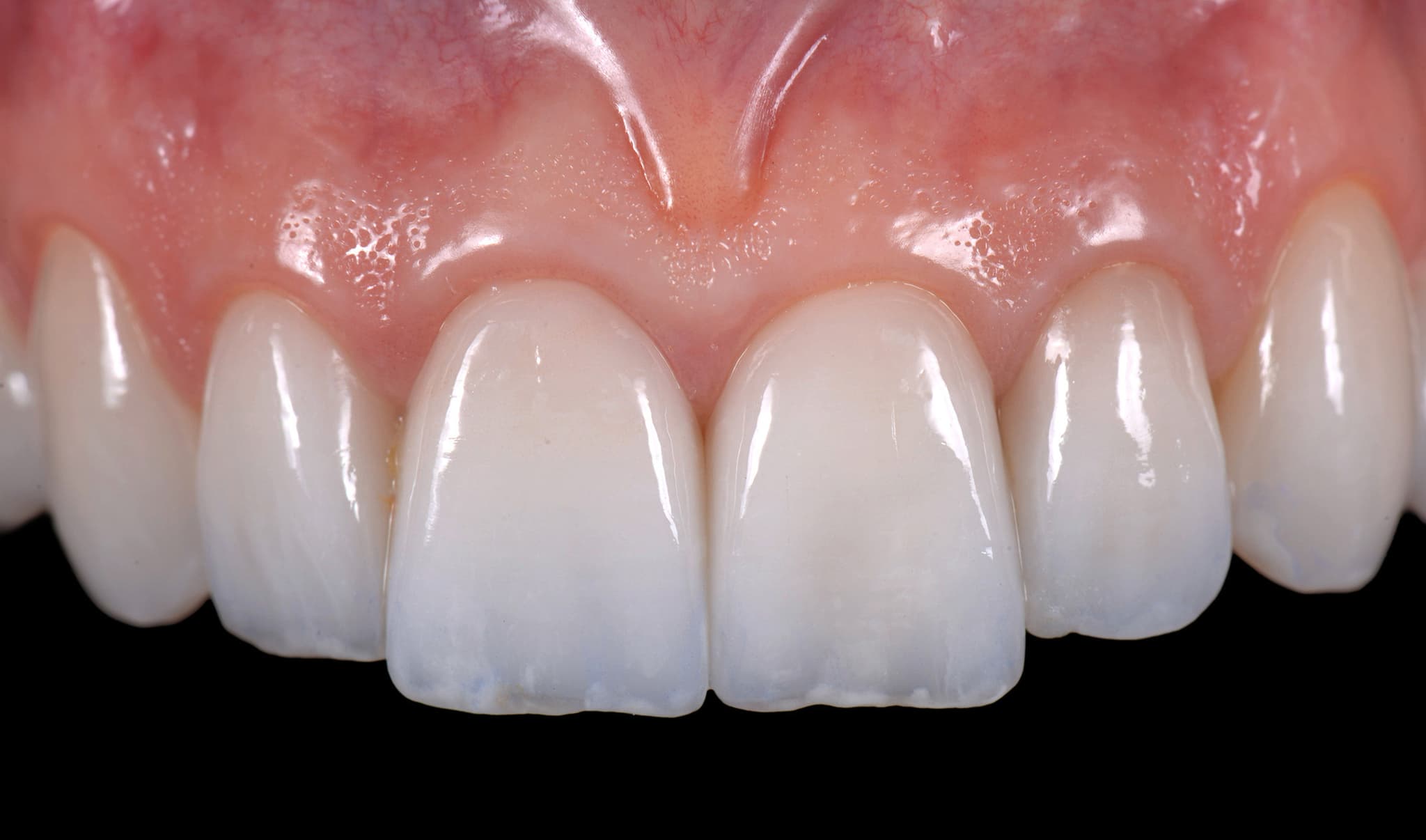
O coroană este o restaurare ceramică de acoperire totală, utilizată pentru a reface un dinte care are nevoie de susținere structurală suplimentară. Dar, în realitate, termenul „coroană” este doar un punct pe o axă mai largă. Fie că este vorba de o coroană, fațetă, onlay sau veneerlay—sunt toate restaurări ceramice, realizate pentru a se integra în designul final și adaptate la starea dintelui existent. Diferența constă în cât de mult din dinte este acoperit, dar principiul rămâne același: materialul potrivit, în forma potrivită, într-un plan unitar.

1. Pregătirea dintelui
Minimă, precisă și adaptată designului.
Începem prin pregătirea suprafeței dintelui, îndepărtând cât mai puțin posibil. Scopul nu este doar să creăm spațiu—ci să urmăm designul. Fie că restaurăm un singur dinte sau facem parte dintr-un caz complex, fiecare pas este planificat în funcție de obiectivul estetic și funcțional final.

2. Design Digital și Alegerea Materialului
Mai mult decât o scanare—un plan de lucru.
Designul nu începe după preparare—ci o ghidează. Înainte de a atinge dintele, lucrăm cu scanări digitale și referințe faciale pentru a planifica forma, volumul și poziția ideală a restaurării. Această previzualizare conduce atât prepararea, cât și alegerea materialului. După ce designul este validat, pregătim dintele în consecință și finalizăm restaurarea în funcție de poziție, funcție și cerințele estetice.

3. Realizarea în laborator și adaptarea finală
De la scanare la restaurare—în același spațiu.
Toate coroanele sunt realizate în laboratorul nostru intern, Metalab, ceea ce ne oferă control complet de la început până la final. Odată ce coroana este gata, o testăm pentru adaptare, confort și integrare vizuală înainte de cimentarea finală. Ajustările fine pot fi făcute în timp real pentru ca rezultatul să reflecte cât mai fidel designul planificat.
Restaurări cu scop și precizie
Construite în jurul dintelui. Ghidate de zâmbet.
La Dentcof, restaurările ceramice nu sunt tratate ca proceduri izolate. Fiecare face parte dintr-un concept restaurator mai amplu—care ia în considerare comportamentul țesuturilor moi, forțele ocluzale, dinții vecini și estetica pe termen lung. Fiecare coroană nu completează doar un dinte. Completează un plan.

Identitatea, punctul de plecare în design
I’mperfect nu este un slogan—este o filozofie de design.
Nu urmărim simetria perfectă și nu reinventăm zâmbete. Începem cu forme dentare reale—naturale, cu personalitate—selectate dintr-o bibliotecă biometrică, și le păstrăm pe tot parcursul procesului. Restaurările monolitice ne permit să menținem această identitate în toate etapele, fără distorsiuni sau reinterpretări. Ce proiectăm este exact ceea ce livrăm: consecvent, intenționat și fidel individualității zâmbetului.

Proiectat și realizat în laboratorul propriu
O echipă. Un flux integrat. Control complet.
Toate restaurările sunt realizate în laboratorul nostru propriu, Metalab. Această legătură directă între clinică și laborator permite un timp de execuție mai eficient, comunicare fluentă și ajustări în timp real. Avem control deplin asupra fiecărei etape—de la selecția formei până la finisare—pentru a menține coerența și fidelitatea față de designul inițial.

Estetică care rezistă
Integrare naturală—din prima zi și în timp.
Coroanele noastre sunt concepute nu doar să arate bine imediat, ci să se integreze cu țesuturile moi, să îmbătrânească natural și să funcționeze fiabil pe termen lung. Verificăm fiecare margine, profil de emergență și punct de contact pentru ca restaurarea să nu fie doar estetică, ci și biologic coerentă.

Gândit pentru orice scenariu
Designul digital înseamnă siguranță pe termen lung.
Fiecare restaurare monolitică pe care o livrăm are în spate un plan digital salvat. Dacă o coroană trebuie refăcută—din cauza uzurii, unei fracturi sau a unui tratament viitor—este posibil să fie necesară o nouă scanare, dar nu și un nou design. Forma, proporțiile și adaptarea inițială sunt păstrate, permițând reproducerea restaurării cu aceeași precizie, chiar și după ani.
Coroane dentare – Întrebări frecvente
Care este diferența dintre o coroană și o fațetă?
O coroană acoperă întreaga suprafață a dintelui, în timp ce o fațetă acoperă doar fața vizibilă. Alegerea depinde de cât de multă structură dentară trebuie restaurată. La Dentcof, tipul de restaurare ceramică este ales în funcție de starea dintelui și de designul general, nu doar după denumire.
Cât timp rezistă o coroană dentară?
Cu o igienă bună și întreținere corespunzătoare, o coroană poate rezista între 10 și 20 de ani sau chiar mai mult. Durabilitatea depinde de materialul folosit, forțele ocluzale, igiena orală și calitatea designului și adaptării inițiale.
Va arăta natural coroana mea?
Da. Toate coroanele noastre sunt personalizate pentru a se potrivi formei, culorii și dinamicii zâmbetului tău. Folosim un design ghidat facial și producție internă pentru ca rezultatul final să fie coerent și natural.
Este dureroasă procedura de aplicare a unei coroane?
Procedura se realizează sub anestezie locală și este, în general, foarte bine tolerată. Majoritatea pacienților raportează un disconfort minim și revin rapid la funcția normală.
Ce materiale folosiți pentru coroane?
Folosim o gamă de ceramici performante, inclusiv zirconiu, ceramică pe bază de leucită și materiale hibride. Alegerea se face în funcție de poziția coroanei, cerințele estetice și solicitările funcționale.
Pot primi o coroană dacă am făcut tratament de canal?
Da. De fapt, în multe cazuri, o coroană este recomandată după tratamentul de canal pentru a proteja dintele slăbit și a-i reda funcția completă.
Cât costă o coroană dentară?
Prețul variază în funcție de complexitatea cazului, materialul utilizat și dacă restaurarea face parte dintr-un plan de tratament mai amplu. După o evaluare clinică completă, îți vom oferi un plan de tratament personalizat, nu o estimare generică.