
Un Zâmbet Natural cu Intervenție Minimă
Rezultate naturale, intervenție minimă.
Fațetele pot transforma un zâmbet fără proceduri invazive. La Dentcof, fiecare caz începe cu designul—nu cu freza. Folosim planificare ghidată facial pentru a orienta tratamentul spre un rezultat care păstrează identitatea și evidențiază trăsăturile naturale.

1. Începem cu Designul
Planificarea conduce fiecare pas.
Înainte de a atinge dinții, construim un plan digital. Zâmbetul tău este vizualizat folosind fotografii, scanări 3D și repere faciale. Împreună, previzualizăm rezultatele într-un mock-up care ghidează fiecare etapă următoare.

2. Fațete Fără Preparație sau cu Preparație Minimă
Mai puțină intervenție. Mai multă conservare.
După validare, transferăm designul folosind fațete ceramice. În multe cazuri, este necesară doar o ajustare minimă a dinților naturali—păstrând cât mai mult smalțul și structura. În cazuri selecte, nu este necesară deloc preparația.

3. Testare și Aplicare Finală
OCD – Obsesie constructivă pentru detalii.
Testezi fațetele înainte de finalizare—evaluând forma, culoarea și integrarea în zâmbet. Le poți analiza în lumină naturală, în mișcare și în diverse contexte. După confirmare, le cimentăm definitiv, cu atenție la fiecare detaliu, pentru un rezultat natural și armonios.
I’mperfect – Un Altfel de Perfect
Natural. Personal. Atemporal.
La Dentcof, nu credem în zâmbete standardizate. Credem că zâmbetul tău ar trebui să reflecte cine ești—personalitatea, proporțiile, trăsăturile naturale.
„I’mperfect” înseamnă să îmbrățișezi individualitatea, nu să o ascunzi.
Nu urmărim simetria artificială sau formele la modă. Proiectăm restaurări care ți se potrivesc—nu doar dinților, ci feței, expresiilor și identității tale. De aceea, rezultatele noastre nu par „făcute”—par corecte.
Afla mai multe despre filozofia noastra de design

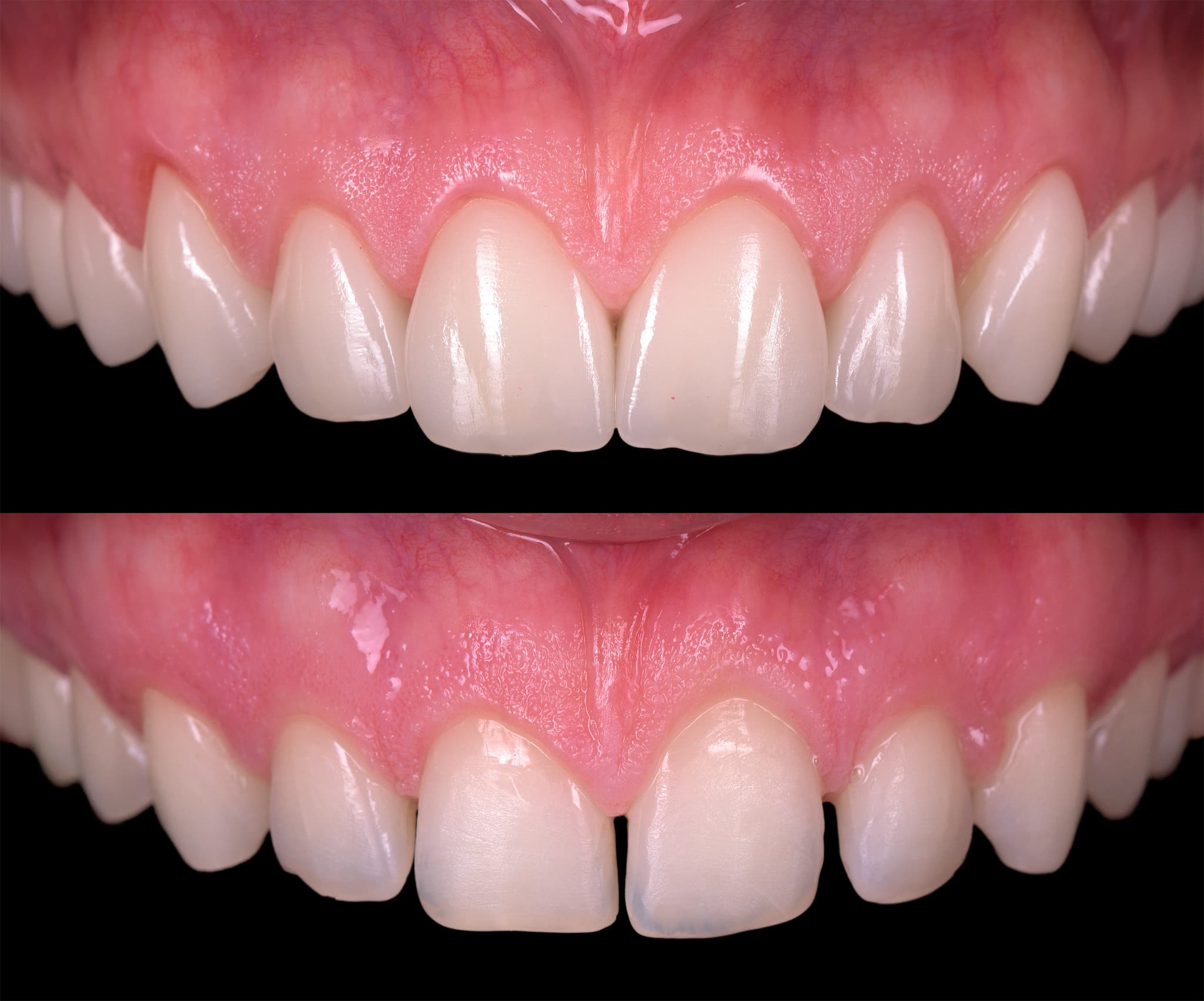
Vezi Rezultatul Înainte să Începem
Claritate înainte de decizie. Întotdeauna previzualizat, niciodată improvizat.
Înainte de orice tratament, îți vezi zâmbetul viitor—pe fața ta, în mișcare, din toate unghiurile. În cazurile aditive, plasăm un mock-up fizic direct în gură, pentru a testa aspectul și senzația. În cazurile reductive, simulăm rezultatul digital prin videoclipuri generate cu AI, cu „înainte” și „după”. În orice variantă, înțelegi rezultatul înainte de a lua o decizie.

Țesuturi Gingivale și Dinți, Gândite Împreună
Gingiile și dinții—planificate ca un întreg.
Un zâmbet natural nu ține doar de dinți—ci și de felul în care apar din gingie. De aceea, includem adesea reconturarea țesuturilor moi în procesul de design. Fie că ajustăm linia gingivală sau remodelăm papilele, sculptăm fundația care susține estetica finală. Dinții și țesuturile sunt tratate ca o compoziție unitară, nu separat. Fiecare design este arhivat digital pentru coerență pe termen lung.

Realizat Intern, în Propriul Nostru Laborator
Design, producție și precizie—în același spațiu.
Fiecare fațetă este produsă de Metalab, laboratorul nostru ceramic intern. Această conexiune directă între design și producție elimină erorile de comunicare, reduce testările și asigură coerență între plan și rezultat.

Estetică care Rezistă
Frumusețe gândită să dureze.
Fațetele noastre sunt concepute pentru mai mult decât un impact imediat. Se integrează natural cu țesuturile moi, îmbătrânesc frumos și funcționează fiabil în timp. Verificăm fiecare margine, profil de emergență și punct de contact pentru un rezultat nu doar estetic, ci și biologic sigur.
Veneers – Întrebări Frecvente
Ce sunt fațetele dentare?
Fațetele sunt straturi subțiri din ceramică, aplicate pe fața vizibilă a dinților pentru a îmbunătăți aspectul. Sunt folosite pentru a ajusta forma, culoarea, alinierea sau proporția—fără intervenții invazive.
Fațetele sunt permanente?
Da. Odată aplicate, fațetele sunt o soluție pe termen lung. Cu îngrijire corespunzătoare, pot rezista 10–20 de ani sau mai mult.
Fațetele deteriorează dinții naturali?
Nu. În cele mai multe cazuri, folosim tehnici fără preparație sau cu preparație minimă care păstrează smalțul și structura dintelui natural.
Vor arăta natural?
Absolut. Fiecare caz este proiectat pe baza reperelor faciale și a esteticii personalizate. Rezultatul se potrivește cu fața ta—nu cu un șablon.
Ce se întâmplă dacă se sparge o fațetă?
Salvăm un plan digital pentru fiecare caz. Astfel, o fațetă deteriorată poate fi refăcută fără a redesena tot zâmbetul.
Cât costă fațetele?
Costul depinde de numărul de fațete, complexitatea cazului și materialele folosite. După evaluarea clinică completă, oferim un plan personalizat—nu un preț generic.
Când sunt posibile fațetele fără preparație?
Fațetele fără preparație sunt potrivite atunci când dinții sunt bine aliniați, fără discromii majore sau probleme structurale. Se folosesc frecvent în cazuri aditive, când este nevoie de volum sau alungire. Când sunt necesare modificări semnificative de formă sau poziție, recomandăm fațetele cu preparație minimă, pentru a asigura estetica și funcția.