
Tratament Parodontal la Dentcof
Sănătatea începe de la fundație.
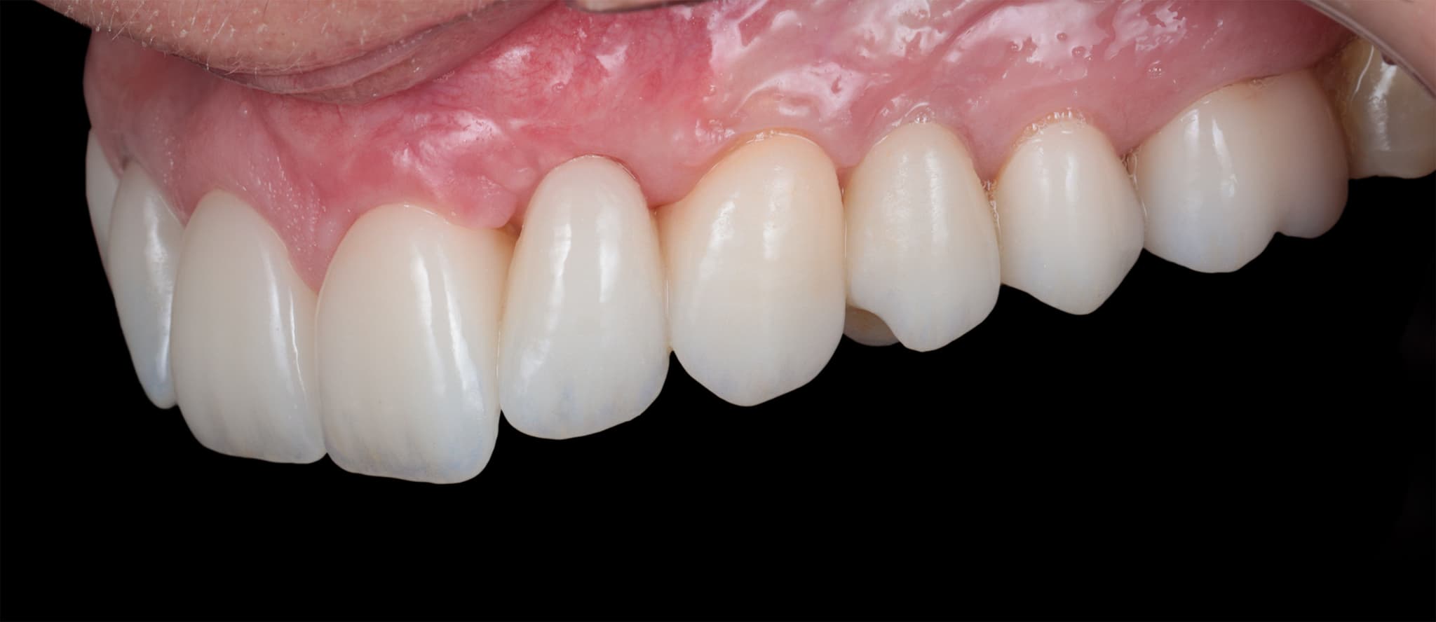
Gingiile și osul sunt fundația tăcută a fiecărui zâmbet. Atunci când sunt afectate, chiar și cele mai frumoase restaurări își pierd stabilitatea. La Dentcof, tratăm boala parodontală nu izolat, ci ca parte integrată dintr-un plan restaurativ mai amplu—punând accent pe sănătate și design încă de la bază.

1. Diagnostic și Evaluare Digitală
Detecție timpurie. Înțelegere completă.
Începem cu o evaluare clinică și radiologică, folosind scanări 3D și sonde digitale pentru a măsura adâncimea pungilor parodontale, pierderea osoasă și inflamația gingivală. Acest proces ne permite să clasificăm severitatea bolii și să monitorizăm evoluția cu precizie. Cel mai important, analizăm modul în care boala parodontală influențează planul general de tratament.

2. Terapie Activă Parodontală
Minim invaziv. Aplicat cu precizie.
În funcție de severitate, tratamentul poate include detartraj subgingival și planare radiculară, terapie asistată cu laser sau tratamente antimicrobiene țintite. Intervenim fără lambou ori de câte ori este posibil, concentrându-ne pe curățarea suprafeței radiculare și oprirea progresiei—fără traumă inutilă.

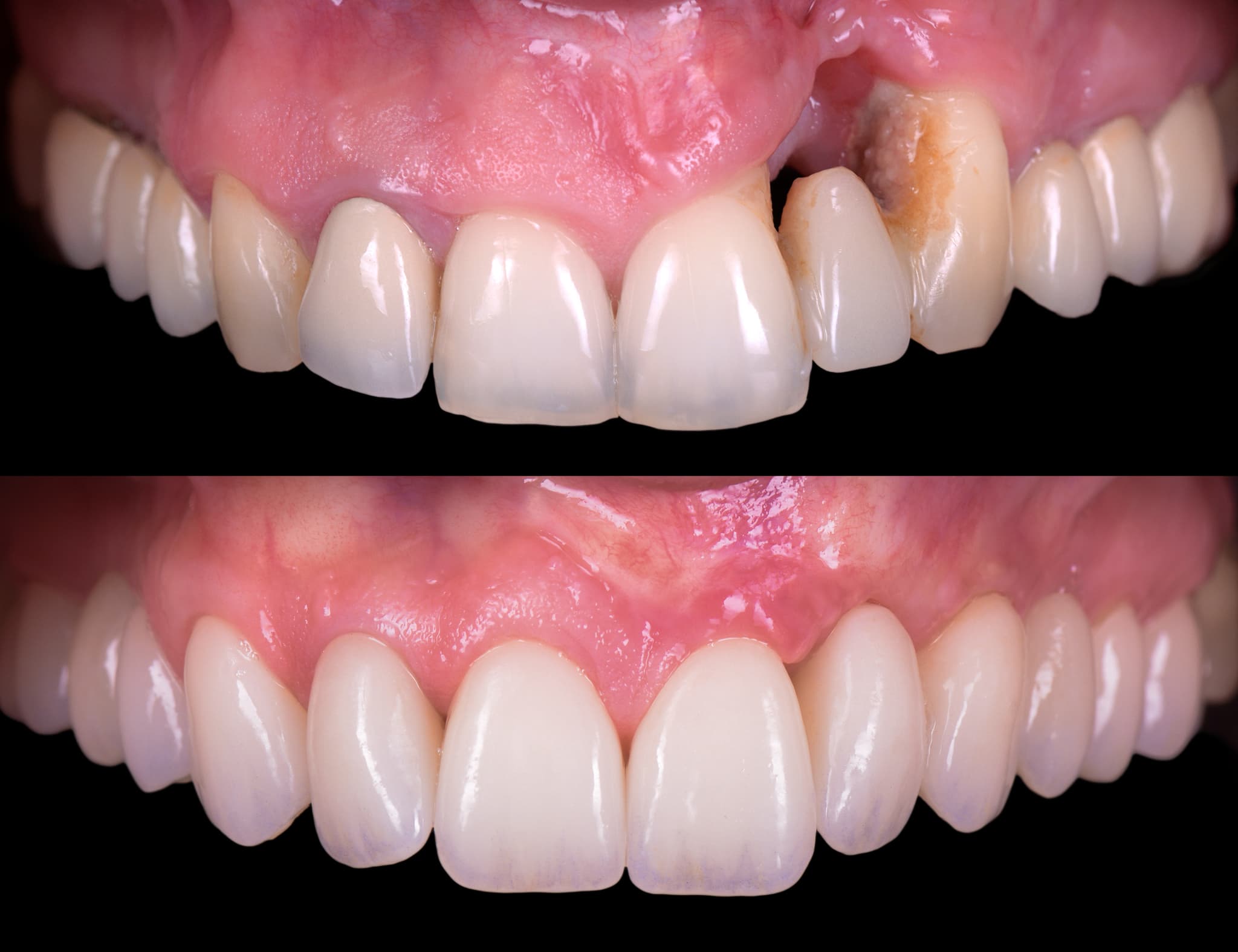
3. Regenerare și Refacerea Țesuturilor
Reconstruim unde este posibil. Stabilizăm întotdeauna.
În cazurile cu pierdere osoasă sau retracție gingivală, evaluăm posibilitatea regenerării. Folosind biomateriale și principii de vindecare ghidată, reconstruim suportul în zonele selectate. Atunci când este luată în calcul inserarea de implanturi, regenerarea ajută la crearea unei baze stabile. Obiectivul nostru nu este doar oprirea bolii—ci și refacerea arhitecturii pierdute.
Află mai multe despre grefele gingivale
Află mai multe despre implanturile dentare

4. Întreținere și Monitorizare pe Termen Lung
Menținem sănătatea. Prevenim recidiva.
După terapia activă, întreținerea devine esențială. Stabilim intervale personalizate pentru vizitele de control și folosim comparații digitale pentru a urmări evoluția vindecării. Pacienții primesc protocoale de igienă structurate și programe de recall adaptate, pentru a asigura stabilitatea în timp.
Proiectat ca Parte dintr-un Tablou Mai Amplu
Sănătatea parodontală, tratată în context, nu izolat.
La Dentcof, tratarea bolii parodontale nu este un scop final—ci punctul de plecare pentru tot ce urmează. Fie că planifici implanturi, ortodonție sau tratamente estetice, stabilitatea parodontală este fundația. De aceea, integrăm terapia parodontală în viziunea completă a tratamentului—nu o tratăm ca pe un drum separat.
Ghidat de Date. Realizat cu Experiență.
Tehnologia întâlnește discernământul clinic.
Folosim CBCT, scanări intraorale și fotografii de diagnostic pentru a urmări în timp schimbările tisulare. Acest lucru ne permite să intervenim devreme, să planificăm restaurările în siguranță și să evităm supratratamentul. Echipa noastră cu experiență aliniază eforturile chirurgicale, de igienizare și protetice pentru rezultate durabile.
Design Digital, Realitate Biologică
Țesuturi sănătoase pentru estetică naturală.
Rezultatele estetice nu depind doar de ceramică—ci și de sănătatea și conturul țesuturilor moi. De aceea, luăm în considerare arhitectura parodontală încă din faza de design. Modelăm, protejăm și menținem țesuturile moi pentru a susține atât sănătatea, cât și armonia.

Întotdeauna Interdisciplinar
Nu un departament separat, ci o disciplină conectată.
Îngrijirea parodontală la Dentcof are loc în paralel cu toate celelalte specialități. Fie că este vorba despre coordonarea cu ortodonția pentru controlul inflamației sau cu protetica pentru temporizarea vindecării tisulare, echipa noastră lucrează sub o singură viziune—de la diagnostic până la finisarea finală.
Tratament Parodontal – Întrebări frecvente
Ce este boala parodontală?
Boala parodontală este o afecțiune inflamatorie care afectează gingiile și osul de susținere al dinților. Netratată, poate duce la sângerări, retracții gingivale, mobilitate dentară și, în final, la pierderea dinților.
Cum știu dacă am boală parodontală?
Semnele frecvente includ sângerări la periaj, respirație urât mirositoare, retracții gingivale și migrarea dinților. Diagnosticul corect necesită o evaluare dentară completă, cu sondaj parodontal și imagistică.
Este tratamentul parodontal dureros?
Majoritatea tratamentelor sunt minim invazive și bine tolerate sub anestezie locală. Curățările asistate laser sau cu ultrasunete cresc confortul și sprijină vindecarea.
Se poate reface osul sau gingia pierdută?
În anumite cazuri, da. Procedurile de regenerare tisulară ghidată și grefare pot reface parțial structurile pierdute, în funcție de severitate și localizare.
Voi avea nevoie de intervenție chirurgicală?
Nu întotdeauna. Multe cazuri pot fi gestionate non-chirurgical prin igienizare profundă, educație privind igiena orală și monitorizare periodică. Chirurgia este rezervată cazurilor avansate și bine selectate.
Cât de des am nevoie de întreținere?
De obicei la fiecare 3–4 luni, în funcție de severitate și factori de risc individuali. Creăm programe de recall personalizate pentru a menține rezultatele pe termen lung.