
Corectarea Ocluziei la Dentcof
Funcție și design. Precizie și personalizare.
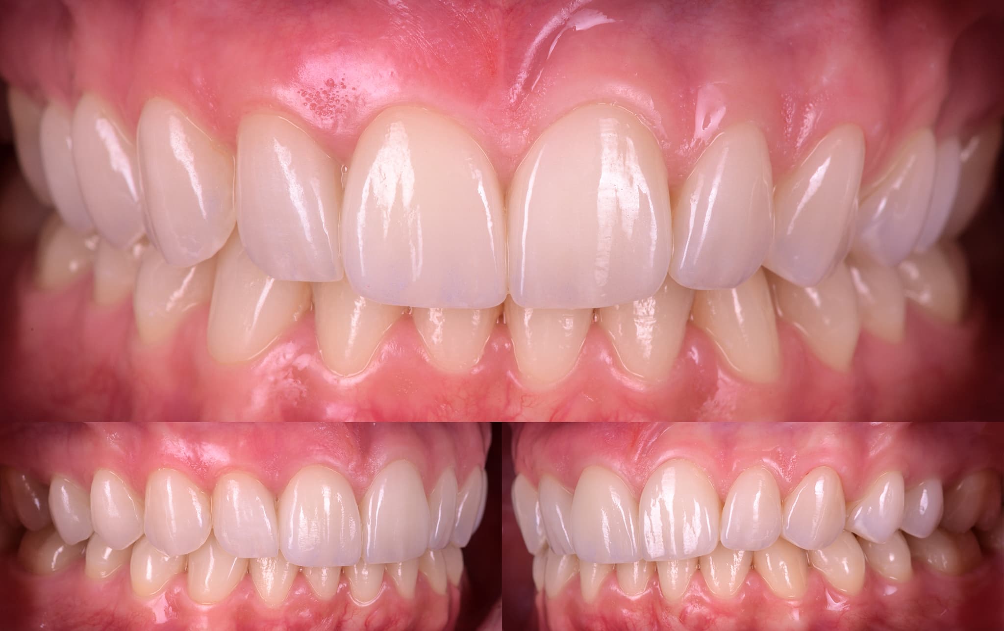
Corectarea ocluziei nu este un tratament separat—este fundația fiecărei restaurări care modifică modul în care dinții se întâlnesc. La Dentcof, reabilitarea funcțională este integrată în fiecare plan de tratament de tip full-mouth. Fie că vorbim despre implanturi, fațete sau ortodonție, ocluzia trebuie să susțină rezultatul—nu să-l compromită.
1. Diagnostic Funcțional
Analizăm mișcarea, nu doar contactul.
Înainte de orice pas ireversibil, analizăm în detaliu ocluzia—atât static, cât și dinamic. Folosind scanări 3D, analiză facială și înregistrări ocluzale digitale, evaluăm uzura dentară, poziția mandibulei și echilibrul ocluzal. Nu contează doar ce atinge ce—ci cum se mișcă toate împreună.

2. Gutieră de Testare și Mock-Up Funcțional
Testare înainte de tratament.
Proiectăm o gutieră diagnostică adaptată ocluziei tale. Purtată timp de câteva săptămâni, această gutieră ne permite să confirmăm corecțiile funcționale și posturale în condiții reale. Ne ajută, de asemenea, să înțelegem răspunsul muscular și stabilitatea, înainte de a interveni asupra dinților. Este o metodă reversibilă de validare a unui plan definitiv.

3. Prototipare Provizorie
Test-drive în ceramică.
Înainte de livrarea restaurărilor finale, realizăm restaurări provizorii care reproduc forma, dimensiunea și ocluzia planificată. Aceste prototipuri permit atât pacientului, cât și medicului să evalueze estetica, fonația și confortul. Ajustările fine pot fi făcute în această etapă, pentru ca rezultatul final să fie funcțional și personalizat.
4. Restaurări Finale și Gutieră de Menținere
Stabilitate pe termen lung, integrată din start.
Restaurările finale sunt proiectate și frezate pe baza prototipului validat. După cimentare, recomandăm adesea o gutieră de protecție nocturnă pentru menținerea echilibrului muscular și prevenirea uzurii parafuncționale. Toate fișierele sunt arhivate digital, permițând reproducerea în viitor—fără a relua procesul de design de la zero.
O Abordare Funcțională a Filosofiei I’mperfect
Nu orice diferență este o problemă.
La Dentcof, facem diferența între patologie și variație anatomică. Nu tratăm o linie mandibulară unică sau o ocluzie atipică ca pe un defect—intervenim doar acolo unde este afectat confortul, sănătatea sau durabilitatea. Designul funcțional înseamnă să evităm supratratamentul, maximizând în același timp precizia, adaptarea și confortul individual.
Design 4D cu Dinamică în Mișcare
Planificăm în mișcare, nu în cadre statice.
Folosind tehnologii digitale pentru urmărirea mandibulei și analiza dinamicii faciale, captăm cum funcționează mușcătura ta în timp real—nu doar într-un moment fix. Această analiză dinamică asigură integrarea naturală a restaurărilor cu tiparele musculare și funcția de masticație.
Mai Puțin Invaziv, Mai Predictibil
Planificare în straturi. Execuție unitară.
Corectarea ocluziei nu se face niciodată în izolare. Atunci când este planificată împreună cu ortodonția, implanturile sau protetica, scurtăm durata tratamentului și îmbunătățim rezultatele. La Dentcof, mergem mai departe—combinăm CBCT full-head, segmentarea digitală și analiza mișcărilor mandibulare pentru a înțelege în timp real cum se comportă dinții și articulațiile. Astfel tratăm precis, evităm intervențiile inutile și asigurăm confort de durată.
Armonie Interdisciplinară
Mai mult decât aliniere—integrare.
Mutăm dinții pentru a reduce invazivitatea tratamentului protetic, aliniem marginile gingivale pentru un rezultat estetic mai bun și planificăm poziționarea implanturilor cu gândul la funcționalitate și ancorare. Dar dincolo de mecanică, colaborăm și cu specialiști în fizioterapie atunci când este nevoie de adaptare musculară sau recuperare articulară. Fiecare element—os, țesut, dinți și mișcare—este gestionat ca parte a unui singur sistem funcțional.
Vezi Rezultatul Încă de la Început
Previzualizează rezultatul. Înțelege scopul.
Simulăm digital rezultatele funcționale și estetice—înainte de orice intervenție. Pacienții pot vizualiza cum corectarea ocluziei le va îmbunătăți confortul, aspectul și sănătatea orală pe termen lung.
Corectarea Ocluziei – Întrebări Frecvente
Ce este corectarea ocluziei?
Corectarea ocluziei presupune diagnosticarea și ajustarea modului în care dinții se întâlnesc și funcționează, pentru a asigura stabilitate, confort și armonie estetică pe termen lung. La Dentcof, este parte integrată din orice plan de reabilitare completă.
Cum știu dacă am nevoie de corectarea ocluziei?
Dacă ai uzură dentară, simptome ATM, lucrări fracturate sau disconfort muscular—sau urmezi un tratament complex—probabil ai nevoie de o evaluare ocluzală.
Corectarea ocluziei este dureroasă?
Majoritatea etapelor sunt minim invazive. Terapia cu gutieră este reversibilă, iar ajustările se fac treptat, cu feedback din partea pacientului.
Este nevoie întotdeauna de coroane sau fațete pentru a corecta ocluzia?
Nu neapărat. În unele cazuri, ortodonția sau terapia cu gutieră pot fi suficiente. Evaluarea completă determină soluția cea mai puțin invazivă.
Cât durează procesul?
Durata variază în funcție de complexitate. Terapia cu gutieră poate dura câteva săptămâni sau luni; urmează testarea provizorie; restaurările finale sunt plasate doar după validare completă.
Rezultatul este permanent?
Cu monitorizare și protecție adecvată (ex: gutieră de noapte), rezultatele sunt stabile. Fișierele digitale arhivate permit și reproducerea lucrărilor, dacă va fi nevoie în viitor.