
Grefe Gingivale la Dentcof
Sănătatea gingiilor întâlnește estetica. Precizia întâlnește conservarea.
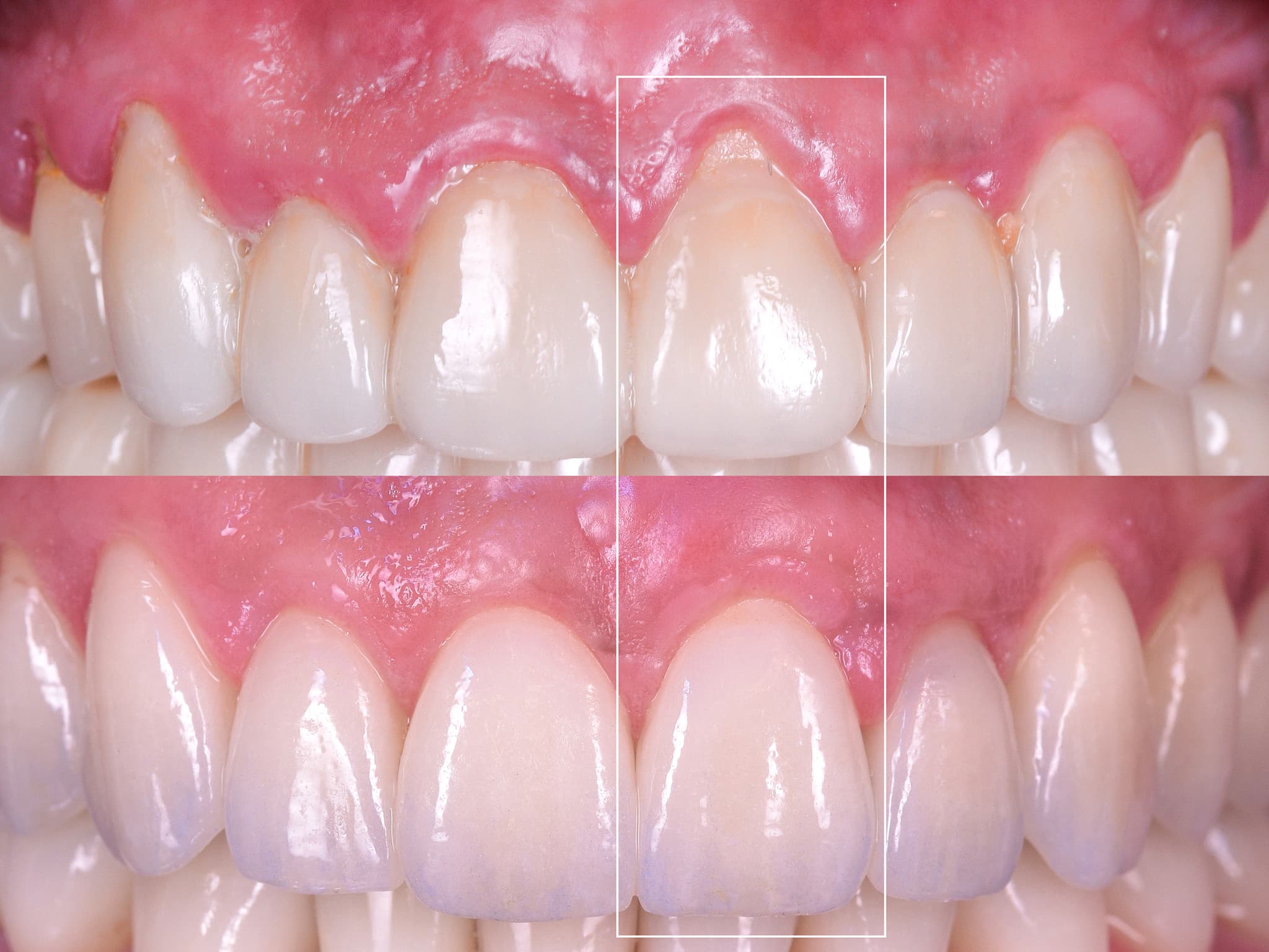
Grefele gingivale nu sunt doar despre acoperirea rădăcinilor expuse sau îngroșarea țesutului. La Dentcof, sunt intervenții personalizate, concepute pentru a stabiliza țesuturile moi, a îmbunătăți estetica și a susține rezultatele restaurative pe termen lung. Fiecare grefă este integrată într-un plan interdisciplinar mai amplu, ghidat de repere faciale și obiective protetice clare.

1. Diagnostic Digital și Planificare a Tratamentului
Design-ul ghidează totul, încă de la început.
Începem cu o documentare digitală completă: fotografii, scanări 3D și imagistică intraorală. Pe baza acestor date, evaluăm pierderea de volum, calitatea țesuturilor și dinamica zâmbetului. Strategia de grefare este coordonată cu eventualele etape protetice, ortodontice sau chirurgicale pentru a susține viziunea generală a cazului.

2. Tehnică Chirurgicală Minim Invazivă
Plasare precisă, cu traumă minimă.
Folosind instrumente microchirurgicale și magnificare, inserăm grefe de țesut conjunctiv sau alte biomateriale în zonele țintite. Ori de câte ori este posibil, utilizăm tehnici de tip tunneling sau fără lambou pentru a reduce trauma, a accelera vindecarea și a asigura o vascularizație optimă. Rezultatul este un profil tisular mai stabil, mai rezistent și estetic integrat.

3. Grefare Ghidată de Design-ul Protetic
Vindecare ghidată de design-ul protetic.
Nu realizăm grefe la întâmplare. Forma, volumul și poziția grefei sunt determinate de designul protetic final. Fie că susține fațete, coroane sau implanturi, grefa devine o fundație biologică și estetică—modelată pentru a se integra cu profilul de emergență și conturul gingival dorit.
Filosofia I’mperfect, Aplicată Clinic
Estetică naturală prin susținere biologică.
Credem că frumusețea vine din armonie, nu din perfecțiune. Grefele de țesut moale contribuie la menținerea acestei armonii prin stabilizarea contururilor gingivale, susținerea papilelor și prevenirea triunghiurilor negre sau a retracțiilor. Este încă un instrument în filosofia noastră estetică—una care se adaptează individului, nu unui șablon.
Tratament Integrat, Nu Adăugat
Planificată împreună, nu adăugată ulterior.
Grefarea gingivală este adesea coordonată cu alungirea coronară, inserarea de implanturi sau tratamente ortodontice. Atunci când este planificată ca parte dintr-o strategie unificată, contribuie la sănătatea biologică și armonia estetică. Această abordare integrată reduce numărul de intervenții și crește predictibilitatea rezultatelor.

Expertiză și Materiale In-House
Control, consistență și precizie clinică.
Toate grefele gingivale la Dentcof sunt realizate de clinicieni cu experiență, folosind materiale verificate și protocoale chirurgicale avansate. Având acces complet la diagnostic digital, suport de laborator și input interdisciplinar, ne asigurăm că grefele sunt plasate în contextul corect—nu doar în poziția corectă.

Sănătate și Stabilitate pe Termen Lung
Estetică ce rezistă în timp.
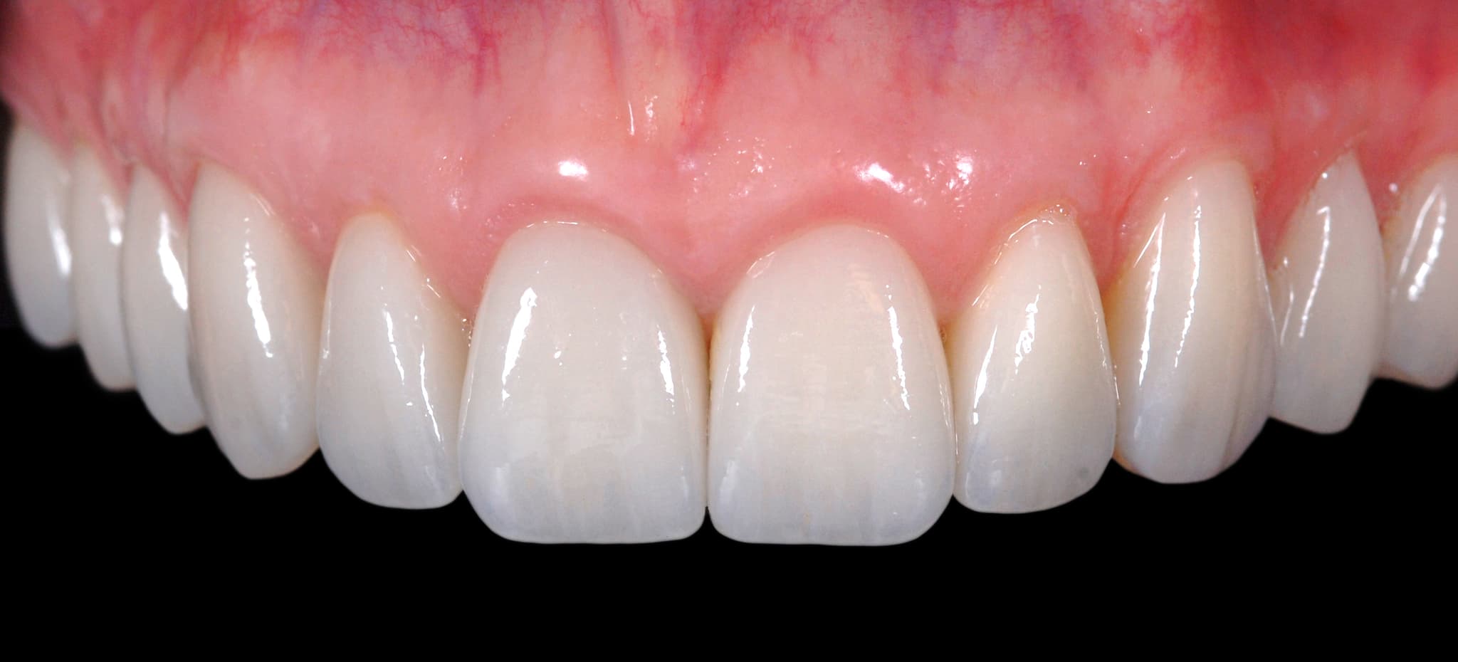
Sănătatea țesuturilor moi joacă un rol esențial în succesul pe termen lung al oricărei restaurări. Grefarea îmbunătățește grosimea țesutului, reduce riscul de retracție gingivală și contribuie la un zâmbet mai stabil și mai natural în timp.
Vezi Rezultatul Încă de la Început
Vizualizezi schimbarea. Înțelegi beneficiul.
Ori de câte ori este posibil, simulăm estetic rezultatul post-grefare folosind instrumente digitale. Acest proces îi ajută pe pacienți să înțeleagă nu doar beneficiul clinic, ci și modul în care procedura contribuie la rezultatul final.
Grefe Gingivale – Întrebări frecvente
Ce este grefarea gingivală?
Grefarea gingivală presupune adăugarea de țesut în zone cu retracție gingivală sau pierdere de volum, pentru a îmbunătăți estetica, a proteja rădăcinile și a stabiliza linia gingivală. Este adesea combinată cu alte tratamente, precum implanturi sau fațete.
Este o procedură dureroasă?
Procedura se realizează, de obicei, sub anestezie locală și este bine tolerată. Folosim tehnici minim invazive și oferim instrucțiuni postoperatorii clare pentru a reduce disconfortul și a accelera vindecarea.
De unde provine țesutul folosit pentru grefă?
Grefele pot proveni din țesutul propriu al pacientului (de obicei din palat) sau din materiale procesate, biocompatibile—în funcție de caz și preferință.
Cât durează perioada de vindecare?
Vindecarea inițială durează între 1 și 2 săptămâni, timp în care țesuturile încep să se stabilizeze și inflamația scade vizibil. Maturarea completă a grefei și integrarea tisulară se realizează în aproximativ 90 de zile. Majoritatea pacienților își pot relua activitățile normale, inclusiv munca, în aceeași zi sau cel târziu a doua zi după intervenție, cu respectarea indicațiilor postoperatorii.
Când este recomandată grefarea gingivală?
Este recomandată în cazuri de retracție gingivală, țesut subțire cu risc de pierdere suplimentară sau atunci când este necesar suport tisular pentru implanturi sau restaurări estetice.
Cât costă tratamentul?
Costul variază în funcție de numărul de zone tratate, tehnica utilizată și materialele folosite. După evaluarea completă, vei primi un plan de tratament personalizat și transparent.